LIVE TV
LIVE TV
LIVE TV
  • Home>
  • Photos»
  • Secretly This Habit Is Harming Your Body!! 8 Health Problems Caused By Eating Nails

Secretly This Habit Is Harming Your Body!! 8 Health Problems Caused By Eating Nails

Eating or biting nails is a harmful habit that can lead to various health problems, both physical and psychological. Breaking this habit is important for maintaining overall health and well being.

Published: July 19, 2025 19:44:50 IST
Infections
2/9

Infections

Finger nails carry bacteria, dirt, and germs that can enter your body when you bite or eat them. Harmful bacteria like E.coli or salmonella may be transmitted, especially if hands are unwashed.

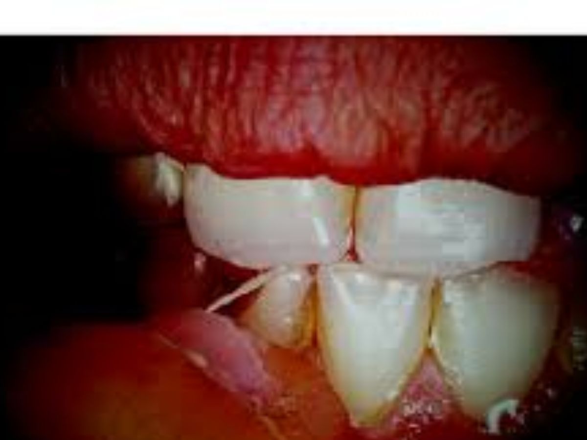
Dental damage
3/9

Dental damage

Constant nail biting or chewing can weaken or chip your teeth. Over time, this habit can wear down both enamel, increasing the risk of cavities.

Gum injuries
4/9

Gum injuries

Sharp edges of bitten nails can scratch or cut the gums, causing pain, bleeding or swelling. It can lead to gym infections or gingivitis.

Paronychia
5/9

Paronychia

When you bite or chew around your nails and cuticles, you create tiny wounds that can become infected. It often requires antibiotics or drainage in severe cases.

Worsening anxiety or stress
6/9

Worsening anxiety or stress

This habit is often a response to stress or anxiety, but the habit itself can reinforce those feelings. It can increase psychological distress and harder to manage emotions.

Transmission of parasites
7/9

Transmission of parasites

Dirty nails can carry parasites such as pinworms, especially if proper hygiene is not maintained. If these parasites can enter the digestive system, can cause symptoms like itching and poor nutrient absorption.

Poor nail growth and deformity
8/9

Poor nail growth and deformity

Biting nails can damage the nail bed, leading to abnormal nail growth or permanent changes in nail shape.

Disclaimer
9/9

Disclaimer

The information provided is just for informational and general purposes only, viewers may consult a doctor for further knowledge.